
Çocuklarda horlama ve ağız açık uyuma, sadece mevsimsel hastalık dönemlerinde değil, düzenli olarak gözlemleniyorsa, bu durum bir sorunun işareti olabilir. Bu iki durum genellikle basit bir rahatsızlık gibi görünse de, aslında çocukların ağız ve çene gelişimini olumsuz etkileyebilecek ciddi sonuçlar doğurabilir.
Ağız Açık Uyumanın Etkileri
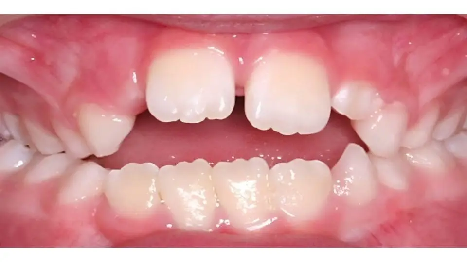
Çocukların düzenli olarak ağızları açık uyuması, ağız kaslarının gerginleşmesine neden olur. Bu durum, özellikle üst çenenin büyümesini engelleyebilir ve çenenin dar kalmasına yol açabilir. Üst çenenin dar kalması, dişlerin sıkışmasına ve ileride dişlerde fırlaklık gibi sorunların ortaya çıkmasına sebep olabilir. Fırlak dişler ise estetik problemlerin yanı sıra, çiğneme fonksiyonunu ve dişlerin sağlığını olumsuz etkileyebilir.
Çocuklarda Horlama Nedenleri
Çocuklarda horlama ve ağız açık uyumanın nedenleri arasında geniz eti büyümesi, bademciklerin şişmesi, alerjiler ve burun tıkanıklığı gibi solunum yolları problemleri yer alabilir. Ayrıca, çocuğunuzun uyku sırasında yeterince hava alamadığı durumlarda da bu belirtiler ortaya çıkabilir.
Ağız Açık Uyuma Tedavi Yöntemleri
Çocuklarda horlama ve ağız açık uyuma tedavi edilebilir bir durumdur. İlk adım, bu durumun nedenlerini belirlemektir. Bu süreçte bir kulak burun boğaz (KBB) uzmanı, diş hekimi veya ortodontist ile iş birliği yaparak, çocuğunuzun sağlıklı bir şekilde nefes almasını ve çene gelişiminin normal seyrinde ilerlemesini sağlamak önemlidir.
Tedavi yöntemleri arasında, altta yatan sağlık sorunlarının çözümü için ilaç tedavileri, alerji tedavileri veya cerrahi müdahaleler yer alabilir. Çocuğunuzun uyku alışkanlıklarını gözden geçirerek ve gerekirse solunum yollarını açacak tedavilerle ağız açık uyuma ve horlama sorununun üstesinden gelebilirsiniz. Çocuklarda ortodonti tedavileri ise genellikle üst çenenin genişletilmesi ve sağlıksız diş dizisinin düzeltilmesini içerir.
Çocuklarda Horlama Hakkında Sıkça Sorulan Sorular
Çocuklarda horlama normal midir?
Hayır, çocuklarda düzenli olarak horlama normal değildir. Bu durum, solunum yolları ile ilgili bir sorunun işareti olabilir ve mutlaka bir uzman tarafından değerlendirilmelidir.
Ağız açık uyuma çocuğumun dişlerine zarar verir mi?
Evet, ağız açık uyuma çocuğun üst çenesinin dar kalmasına neden olabilir. Bu durum, dişlerde sıkışıklığa ve fırlak diş sorunlarına yol açabilir.
Çocuklarda horlama ve ağız açık uyuma nasıl tedavi edilir?
İlk adım, bu durumun nedenini belirlemektir. Geniz eti, bademcikler veya alerji gibi nedenlere yönelik tedaviler uygulanabilir. Tedavi sürecinde bir KBB uzmanı veya ortodontist ile çalışmak önemlidir.
Bu durum ortodontik sorunlara yol açar mı?
Evet, ağız açık uyuma ve horlama, çene gelişimini olumsuz etkileyebilir ve bu da ortodontik problemlere yol açabilir. Erken teşhis ve tedavi bu sorunların önüne geçebilir.
Çocuğumun horlaması ne zaman endişe verici hale gelir?
Eğer çocuğunuz düzenli olarak horluyorsa veya ağız açık uyuyorsa, bu durum endişe verici olabilir. Bu durumda bir uzmana danışmak önemlidir.




